Alzheimer's Society blog

Read real stories from people affected by dementia, and find out about the latest dementia news, research and campaigns.

No filters currently applied. Choose more or apply selected filters.
Information
Information
Dementia Friends is the biggest ever social action movement to change perceptions of dementia. Find out why you should become a Dementia Friend to make a difference in the lives of people affected by dementia.
Real stories
Real stories
Pat Sikes is an Alzheimer's Society researcher whose husband lives with dementia. She explains the power of speaking out instead of stewing in guilt.
Research
Research
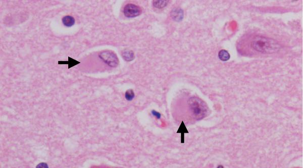
What research are we funding into dementia with Lewy bodies? Find out in our blog series looking at rarer forms of dementia.
Research
Research
In the second of our blog series looking at less common types of dementia, we take a look at what research is ongoing into frontotemporal dementia.
Research
Research
Want to know what research we’re funding into vascular dementia? Take a look at the research projects we’re currently supporting.
Real stories
Real stories
We're proud to wear the forget-me-not flower as our official logo. Read on for the stories behind three forget-me-not tattoos from our supporters.
Real stories
Real stories
Barber Lenny White is supporting care home residents with haircuts, good conversation and classic songs from his portable jukebox. His business is proving a big hit in Northern Ireland, and he's now setting his sights on the rest of the UK.
Research
Research
Find out about the unclear association between artificially-sweetened beverages and dementia.

Share your story with us

Would you like to write a blog post? We're always looking for real stories to share on our blog. If you don't want to write a post yourself, you can also share your story with us, and get involved in our press and campaigning work. Find out more about both options.

How to write a blog post Share your story with us